Cosmetic Dentistry

A beautiful smile is a perception that combines tooth harmony and youthful colour. Simple measures such as tooth whitening can give your smile a real lift and for those with more complex needs, there are many options available.

Tooth Whitening

Tooth whitening (vital bleaching) is a simple technique that can be done at home using custom made thin mouthguards to hold the whitening gel in place.
It is a safe and effective way to improve the natural colour of your teeth. It is not suitable for every cosmetic case so it is necessary for us to evaluate your situation prior to any treatment.

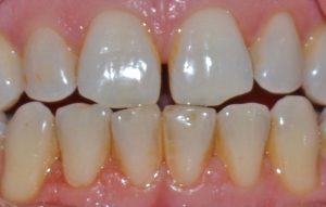
 Discloured teeth

Discloured teeth

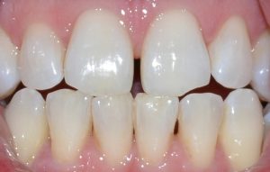
 After Tooth Whitening

After Tooth Whitening

Tooth Coloured Fillings

The development of durable tooth coloured fillings has been a major advance in dental treatment. We prefer to use these materials and the results speak for themselves.

 Old Amalgam fillings

Old Amalgam fillings

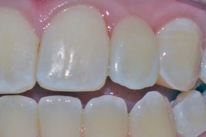
 Modern tooth coloured fillings

Modern tooth coloured fillings

Veneers, Crowns & Bridges

Porcelain Veneers are custom made porcelain wafers that are bonded to teeth to create an exceptional cosmetic result. They are extremely durable and can be used to change the colour and shape of teeth to give unsurpassed aesthetics, even in cases of dark discolouration. Composite resin Veneers are a more economical alternative that can still give an excellent result.

If there is more damage to the original tooth structure, a Crown can be made. Crowns cover more tooth surface than a Veneer to protect the structural integrity of the tooth. The latest technology in crown construction makes them remarkably lifelike and extremely strong.

If you are missing a tooth, the technology used in Crown construction can be used to make a Bridge. The Bridge is permanently glued into the missing space using one or more adjacent teeth as support. These days Dental Implants are more commonly used to replace a tooth but there are many situations where a Bridge is still the best alternative.

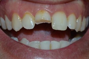
 Fractured front tooth

Fractured front tooth

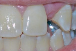
 Missing tooth

Missing tooth

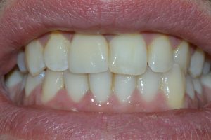
 Aesthetic porcelain crown

Aesthetic porcelain crown

 Bridge to replace tooth

Bridge to replace tooth

 Fractured front tooth

Fractured front tooth

 Aesthetic porcelain crown

Aesthetic porcelain crown

 Missing tooth

Missing tooth

 Bridge to replace tooth

Bridge to replace tooth